
A tooth extraction refers to the procedure of removing a tooth from its socket.
Procedure On Removing A Tooth
First, a local anesthetic is applied to make the procedure more comfortable. In some cases your dentist will elect to use nitrous oxide gas in addition to the anesthetic. A dental instrument called an elevator is used to wiggle the tooth in its socket. After the tooth is loosened it is removed using forceps.
Extraction’s Possible Complications
Like most other procedures, tooth extraction is not free of possible complications. You should be aware that there is a slight chance of infection, tenderness, prolonged bleeding, dry socket and loosening of neighboring teeth or their fillings or crowns. Another rare possibility is of an upper tooth getting displaced into the sinus. Lastly, jaw fracture and temporary or permanent numbness is also very rare possibilities.
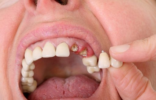
Importance Of Replacing The Missing Tooth
You need to be aware of the importance of replacing this missing tooth. Why? Once a tooth is removed, the space created by the missing tooth will allow the surrounding teeth to shift into that space. This shift could cause a misalignment in your mouth that can result in chewing or jaw-joint problems. These shifted teeth are harder to clean, making them more susceptible to gum disease, decay or even additional tooth loss. For these reasons, it’s important to replace the tooth with a dental appliance such as a bridge, a removable partial denture or an implant.
Pulling A Repairable Tooth
In some instances you may be considering the option of pulling a tooth rather than simply repairing it. While it may be less expensive in the short run, in the long run it may cost you more. As you just heard, once a tooth is pulled you still need to fill the space with a dental appliance to avoid future complications. If you add the cost of extraction plus the replacement of the tooth, you may simply be better off repairing it.
